Hochpräzise Prothetik
Zahnersatz durch Prothesen
Die oberste Priorität unserer Behandlungen ist der Erhalt der gesunden Zahnsubstanz und aller Zähne.
![manufaktur [ʒεt] Ihre Praxis für Zahnmedizin Dr. Thom und Dr. Konstantinova](https://manufaktur-z.de/wp-content/uploads/2021/12/manufaktur_z_logo_small.png)
Zahnersatz durch Prothesen
Die oberste Priorität unserer Behandlungen ist der Erhalt der gesunden Zahnsubstanz und aller Zähne.
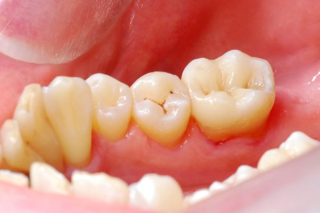
Kleine bis mittelgroße Defekte des Zahnes lassen sich durch den Einsatz von hochwertigen, mit Nanokeramiken gefüllten, Kunststoffen ästhetisch und zahnfarben reparieren.
Amalgam ist leider nach wie vor der von den gesetzlichen Krankenkassen vorgeschriebene Füllungswerkstoff für den Seitenzahnbereich. Dieser Werkstoff ist jedoch sehr umstritten, da er unter anderem giftiges Quecksilber enthält. Deshalb verarbeiten wir in unserer Praxis seit 25 Jahren kein Amalgam mehr.
Große Defekte in den Seitenzähnen lassen sich heute perfekt mit Keramikinlays oder Keramikteilkronen dauerhaft in Form und Funktion wiederherstellen.
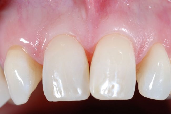
Ihre Zähne sind gesund, aber Sie sind mit dem Aussehen Ihrer Frontzähne nicht zufrieden, wie zum Beispiel auf diesem Bild die Frontzähne auch nach kieferorthopädischer Behandlung noch sehr lückig stehen.
Oft geht auch bei einer erfolgreichen Parodontosebehandlung das Zahnfleisch weit zurück, sodass hässliche freiliegende Zahnhälse sichtbar sind.