Hochpräzise Prothetik
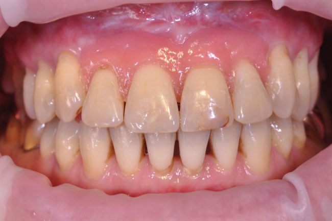
Zahnersatz durch Prothesen Die oberste Priorität unserer Behandlungen ist der…
![manufaktur [ʒεt] Ihre Praxis für Zahnmedizin Dr. Thom und Dr. Konstantinova](https://manufaktur-z.de/wp-content/uploads/2021/12/manufaktur_z_logo_small.png)
Als Gemeinschaft aus Experten unterschiedlicher Disziplinen und einem angeschlossenen Dentallabor bieten wir unseren Patienten ein umfangreiches Leistungsspektrum. Dazu zählen Ästhetik und Vorsorge, digitaler Zahnersatz und Füllungen, Prothesen und Kinderzahnheilkunde sowie zahlreiche weitere Bereiche.
Zahnersatz durch Prothesen Die oberste Priorität unserer Behandlungen ist der…
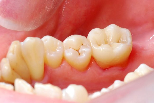
Zahn-Implantate bieten eine große Bandbreite an Möglichkeiten, um verloren gegangene…
Zähne haben in Ihrem Inneren einen Hohlraum, der mit Blutgefäßen,…
Das oberste Ziel der Prophylaxe ist der Erhalt der Zahnhartsubstanz…
Beschwerden im Kiefergelenk sind ein zunehmendes Problem für Patienten. Die…
Viele zahnärztliche Behandlungen können einen unangenehmen Schmerz verursachen, davon weiß…
Es gibt verschiedene Arten eine Zahnaufhellung (Bleaching) durchzuführen. Eine Variante…
Moderne Lachgas-Sedierung – sicher und schonend Dazu bieten wir in…
Eine Parodontistiserkrankung lässt sich erfolgreich nur mit unserem dreistufigen Behandlungskonzept…
Bei starkem Verlust von knöchernen Strukturen durch eine Parodontose gibt…
Als letzte Zähne des Ober- und Unterkiefers brechen die Weisheitszähne…
Bei den ersten Schritten einer endodontischen Behandlung müssen die Zugänge…
Fast jeder dritte Deutsche schnarcht. Mit fortgeschrittenem Alter sind sogar…
Das digitale Röntgen ist ein Verfahren mit sehr geringer Strahlenbelastung.…
Die Diagnostik von spezifischen parodontitisauslösenden Bakterien ist ein wichtiges Instrument,…
Für Kinder und Jugendliche stellt die Fissurenversiegelung eine hervorragende Möglichkeit…
Die Kinder – unsere Zukunft! Wir sind für Ihre Mundhygiene…
Oft geht auch bei einer erfolgreichen Parodontosebehandlung das Zahnfleisch weit…
Die Parodontitis-Vorbehandlung stellt die vorbereitenden Therapiemaßnahmen dar, die im Idealfall…
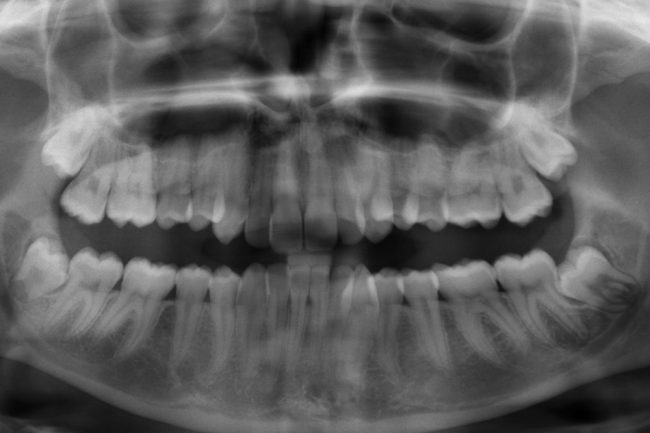
Die 3D-Volumentomografie (DVT) stellt ausgewählte orale Regionen und ihre Details…
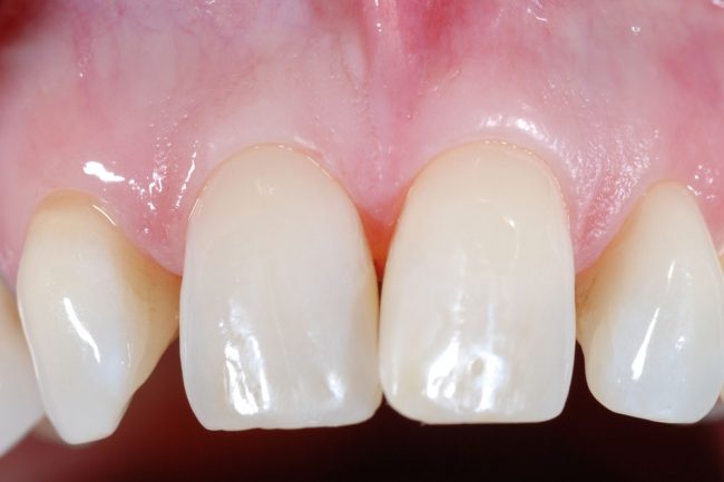
Die Vorstellung einer Abformung ruft bei den meisten Patienten ein…
Genaueste Planung für sichere Implantation und einfache Chirurgie ermöglicht eine…
Alle Hygieneabläufe sind im Detail nach dem Infektionsschutzgesetz und nach…